Zápal ďasien domáca liečba. Zápal ďasien, známy aj ako gingivitída, je bežné ochorenie, ktoré postihuje tkanivo ďasien v ústnej dutine. Je to dôležitá téma pre zdravie ústnej dutiny, pretože zápal ďasien môže mať vážne následky, ak nie je riadne liečený.
Príčiny zápalu ďasien môžu byť rôznorodé. Najčastejšou príčinou je nedostatočná ústna hygiena, ktorá vedie k hromadeniu baktérií a zubného plaku na povrchu zubov a v okolí ďasien. Tento plak obsahuje škodlivé baktérie, ktoré vyvolávajú zápal ďasien. Ďalšie príčiny môžu zahŕňať genetické faktory, hormonálne zmeny, fajčenie, stres a určité lieky.
Liečba zápalu ďasien je nevyhnutná na zmiernenie príznakov a zastavenie pokročenia ochorenia. Správna liečba zahŕňa dôkladné čistenie zubov, odstránenie zubného plaku a baktérií, použitie ústnej vody a prípadne antibiotiká, ak je zápal závažný. Okrem toho je dôležité pravidelne navštevovať zubára, ktorý môže vyhodnotiť stav ďasien a odporučiť vhodné liečebné postupy.
V tomto článku sa budeme zaoberať domácou liečbou zápalu ďasien. Poskytneme vám užitočné rady a tipy, ako si správne starať o svoje ďasná a zabrániť rozvoju zápalu. Je však dôležité mať na pamäti, že v prípade závažnejšieho zápalu by ste mali vyhľadať profesionálnu lekársku pomoc od zubára.
Príznaky zápalu ďasien
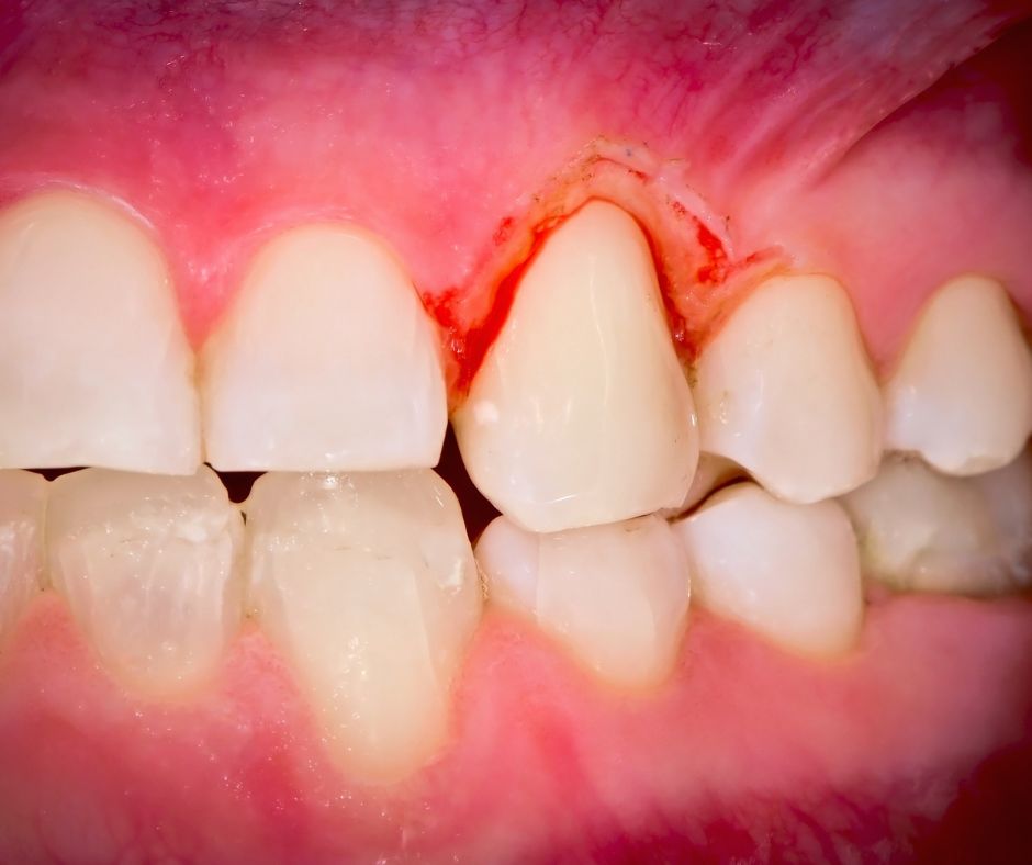
Zápal ďasien sa prejavuje rôznymi príznakmi, ktoré naznačujú problémy a nezdravý stav ďasien. Je dôležité vedieť, ako rozpoznať tieto príznaky, aby sme mohli čo najskôr zasiahnuť a vyhľadať vhodnú liečbu. Medzi typické príznaky zápalu ďasien patria:
- Začervenanie: Zápal ďasien môže spôsobiť začervenanie tkaniva. Ďasná sa môžu javiť červené, svetloružové alebo v niektorých prípadoch fialové.
- Opuch: Zápal ďasien môže spôsobiť opuch tkaniva. Ďasná môžu byť oteplené na dotyk a vyzerajú väčšie ako zvyčajne.
- Krvácanie: Krvácanie ďasien je jedným z najčastejších príznakov zápalu. Pri čistení zubov alebo počas používania zubnej nitky môžu ďasná krvácať. Krv sa môže objaviť aj pri jedle alebo pití.
- Bolesť: Zápal ďasien môže spôsobiť bolesť a citlivosť. Ďasná môžu byť bolestivé pri dotyku alebo pri žuvaní tvrdých potravín. Bolesť sa môže šíriť aj na okolité tkanivá a zuby.
- Zápach z úst: Zápal ďasien môže spôsobiť nepríjemný zápach z úst. Baktérie, ktoré sú prítomné v zápalovom procese, môžu produkovať plyny a látky, ktoré vedú k nepríjemnému zápachu.
Ak si všimnete tieto príznaky zápalu ďasien, je dôležité vyhľadať zubára, ktorý vám môže poskytnúť profesionálnu liečbu a poradiť vám s vhodnými postupmi starostlivosti o ústnu dutinu. Včasná diagnóza a liečba zápalu ďasien môže zabrániť ďalšiemu rozvoju ochorenia a zlepšiť zdravie vašich ďasien.

Pravidelné a dôkladné čistenie zubov dvakrát denne je kľúčové pre kontrolu zápalu ďasien.
Zápal ďasien domáca liečba
a) Správna ústna hygiena: Pravidelné a dôkladné čistenie zubov dvakrát denne je kľúčové pre kontrolu zápalu ďasien. Používajte mäkkú zubnú kefku a zubnú pastu s fluoridom. Nezabúdajte na čistenie medzi zubami pomocou zubnej nitky a ústnej vody.
b) Ústne vody a vyplachovanie: Ústne vody s antimikrobiálnymi účinkami môžu pomôcť znižovať zápal a kontrolovať množenie baktérií v ústnej dutine. Vyplachujte ústa teplou soľnou vodou, ktorá má antiseptické vlastnosti.
c) Prírodné liečivá: Niektoré prírodné liečivé prostriedky môžu pomôcť zmierňovať zápal ďasien. Harmanček obsahuje protizápalové a antimikrobiálne vlastnosti. Skúste pravidelne aplikovať harmančekový obklad na postihnuté miesta. Aloe vera gél má upokojujúce a liečivé účinky na ďasná. Aplikujte malé množstvo aloe vera gélu na ďasná a nechajte pôsobiť.
d) Zdravá strava: Strava bohatá na vitamíny C a D, ako aj na minerály ako vápnik a zinok, môže pomôcť posilniť zdravie ďasien. Konzumujte potraviny bohaté na tieto živiny, ako sú citrusové plody, zelenina, mliečne výrobky a morské plody. Obmedzte konzumáciu sladkostí a kofeínu, ktoré môžu podporovať rast baktérií.
Starostlivosť o ústnu dutinu
a) Pravidelné návštevy zubára: Navštevujte zubára pravidelne na preventívne kontroly a profesionálne čistenie zubov. Zahŕňa to odstránenie tvrdých zubných povlakov a plaku, ktoré môžu spôsobiť zápal ďasien.
b) Správne používanie zubných pomôcok: Používajte mäkkú zubnú kefku, ktorá minimalizuje podráždenie ďasien. Používajte zubnú pastu s fluoridom a antibakteriálnymi účinkami na boj proti baktériám.
c) Zabudnite na fajčenie: Fajčenie je jedným z faktorov, ktoré môžu spôsobiť zápal ďasien. Preto je dôležité vyhnúť sa fajčeniu a v prípade fajčiarov zvážiť odvykanie.
Je dôležité si uvedomiť, že tieto domáce liečebné metódy môžu pomôcť pri miernych príznakoch zápalu ďasien. V prípade pokročilého zápalu alebo ak príznaky pretrvávajú, je dôležité vyhľadať odbornú zubnú starostlivosť. Zubár môže poskytnúť primeranú diagnózu a navrhnúť vhodné liečebné postupy na zmiernenie zápalu ďasien a obnovenie zdravia ústnej dutiny.
Kedy vyhľadať profesionálnu pomoc
Je dôležité vyhľadať profesionálnu pomoc zubára alebo parodontológa v prípade, že:
- Príznaky zápalu ďasien pretrvávajú: Ak príznaky zápalu ďasien, ako je začervenanie, opuch, krvácanie alebo bolesť, nezmiznú po niekoľkých dňoch domácej liečby, je vhodné vyhľadať odbornú pomoc.
- Zápal sa zhoršuje alebo sa šíri: Ak sa zápal ďasien zhoršuje a rozširuje na susedné tkanivá, môže to byť znak pokročilého stavu a vyžadovať odborné ošetrenie.
- Vznikajú vážnejšie komplikácie: Ak sa objavia vážnejšie komplikácie, ako je absces (hnisavý zápal), silná bolesť alebo tvorba vreciek na ďasnách, je nevyhnutné vyhľadať okamžitú odbornú pomoc.
- História vážnych problémov s ďasnami: Ak máte predchádzajúcu anamnézu vážnych problémov s ďasnami alebo parodontálnymi ochoreniami, je dôležité pravidelne navštevovať zubára a pravidelne sledovať stav svojich ďasien.
- Potrebujete profesionálnu liečbu: V prípade pokročilého zápalu ďasien môže byť potrebné profesionálne ošetrenie, ako je parodontálna liečba, ktorá zahŕňa odstránenie zubného plaku a povlakov a vyčistenie koreňov zubov.
Je dôležité si uvedomiť, že profesionálna pomoc je nevyhnutná v prípade vážneho zápalu ďasien, aby sa predišlo komplikáciám a zachovalo sa zdravie ústnej dutiny.
Prevencia
Prevencia zápalu ďasien je kľúčová pre udržanie zdravia ústnej dutiny. Niekoľko dôležitých opatrení zahŕňa:
- Pravidelná ústna hygiena: Dôkladné čistenie zubov dvakrát denne je základným krokom v prevencii zápalu ďasien. Používajte mäkkú zubnú kefku a zubnú pastu s fluoridom a antibakteriálnymi účinkami. Nezabúdajte čistiť aj medzi zubami pomocou zubnej nite alebo medzizubnej kefky.
- Zdravá strava: Dodržiavanie vyváženej stravy bohatej na vitamíny a minerály je dôležité pre zdravie ďasien. Konzumujte dostatok ovocia, zeleniny, celozrnných potravín a bielkovín, a obmedzte príjem sladkostí a kofeínu.
- Obmedzenie rizikových faktorov: Vyhnite sa fajčeniu, ktoré môže oslabiť imunitný systém a zhoršiť zápal ďasien. Snažte sa minimalizovať stres, ktorý môže mať negatívny vplyv na zdravie ústnej dutiny. Ak používate tabakové výrobky, uvažujte o ich opustení.
- Pravidelné návštevy zubára: Pravidelné preventívne návštevy u zubára sú dôležité na kontrolu stavu ústnej dutiny, profesionálne čistenie zubov a odhalenie zápalu ďasien včas. Odporúča sa navštevovať zubára minimálne raz za pol roka, ale frekvencia môže byť individuálne prispôsobená.
Prevencia je kľúčom k zdravým ďasnám a celkovo k zdravému stavu ústnej dutiny. Dodržiavanie týchto opatrení vám pomôže minimalizovať riziko zápalu ďasien a udržať si zdravý úsmev.
Záver
Zápal ďasien je vážny problém, ktorý môže mať negatívny vplyv na celkové zdravie ústnej dutiny. Správna ústna hygiena, zdravá strava a pravidelné návštevy zubára sú kľúčové pre udržanie zdravých ďasien a prevenciu zápalu ďasien. Domáce prostriedky, ako správne čistenie zubov, používanie prírodných liečivých prostriedkov a zmena stravovacích návykov, môžu tiež pomôcť pri liečbe zápalu ďasien. Avšak, ak sa príznaky zápalu nezlepšujú alebo sa zhoršujú, je dôležité vyhľadať profesionálnu pomoc zubára. Venujte dostatočnú pozornosť svojim ústam a ďasnám a udržujte si zdravý úsmev!
Referencie:
